ボロボロの歯の治療

「歯がボロボロでもう治せない」 と諦めていませんか?

「歯がボロボロでもう治せない」 と諦めていませんか?

他院で「抜歯」と言われた方も、歯周病専門医があなたの歯を残す最善の方法を一緒に考えます。

  • 日本歯周病学会専門医による治療
  • 歯科医師臨床研修医指導医
  • 「患者さまと家族のような関係」を大切に

こんなお悩みはありませんか?

  • 長年、歯医者に行けていない
  • 虫歯や歯周病がひどく、人前で口を開けて笑えない
  • 食事がおいしく感じられない、硬いものが噛めない
  • 痛みや口臭が気になって、会話に集中できない
  • 他の歯医者で「治療できない」と言われた経験がある

一つでも当てはまる方は、ぜひ当院にご相談ください。

実際に治療を受けられた患者様の声

【50代男性・会社員】

「他院で全部抜歯と言われましたが、8本の歯を残すことができました」

長年の歯周病で歯がグラグラになり、近所の歯医者で「全部抜いて入れ歯にするしかない」と言われ絶望していました。岡田先生に相談したところ、丁寧に検査をしていただき、「まだ残せる歯がある」と希望を与えてくださいました。治療は痛みもほとんどなく、今では硬いものも噛めるようになりました。諦めずに相談して本当に良かったです。

治療期間:8ヶ月 治療費:約80万円(保険適用部分含む)

【40代女性・主婦】

「人前で笑えるようになりました」

虫歯を放置していたため前歯がボロボロになり、人前で笑うことができませんでした。恥ずかしくて歯医者に行くのも躊躇していましたが、スタッフの皆さんが優しく接してくださり、安心して治療を受けることができました。セラミックで綺麗な歯になり、今では自信を持って笑えます。

治療期間:6ヶ月 治療費:約120万円

歯がボロボロになる原因と 放置することの深刻なリスク

歯がボロボロになる主な原因

1. 重度の虫歯
神経まで達した虫歯が歯を内部から破壊し、最終的に歯が欠けたり折れたりします。

2. 重度の歯周病
歯を支える骨が溶けて歯がグラグラになり、最終的に抜け落ちてしまいます。

3. 過去の治療の繰り返し
適切でない治療の繰り返しにより、歯の寿命が短くなってしまいます。

歯科治療から足が遠のいてしまう理由

  • 過去の「痛い」「怖い」体験がトラウマになっている
  • 忙しくて通院の時間が取れない
  • 治療費が心配
  • 歯医者に怒られるのではないかという不安
  • 治療内容がよくわからないまま進められた経験

これらの理由は患者様の責任ではありません。
当院では、このような不安を取り除く取り組みを徹底しています。

放置することで起こる深刻な問題

【お口の中の問題】

  • さらなる歯の喪失
  • 噛み合わせの悪化
  • 口臭の悪化

【全身への影響】

  • 糖尿病の悪化
  • 心筋梗塞・脳梗塞のリスク増加
  • 誤嚥性肺炎
  • 認知症のリスク増加

【日常生活への影響】

  • 頭痛、肩こり、腰痛
  • 食事が楽しめない
  • 人前で話すことへの不安
  • 笑顔に自信が持てない

中野駅南歯科クリニックの 「歯を残す」ための5つの特徴

特徴1: 日本歯周病学会「専門医」による精密な診断

特徴1: 日本歯周病学会「専門医」による精密な診断

院長の岡田祐輔は、日本歯周病学会専門医・歯科医師臨床研修医指導医として、数多くの重度歯周病治療に携わってきました。

  • 歯周病治療の専門書執筆経験
  • 大学での指導経験
  • 最新の歯周病治療技術の習得
歯科用CTを活用し、歯や顎の骨の状態を3次元的に正確に把握することで、他院では「抜歯」と診断された歯でも残せる可能性を見つけ出します。

特徴2: 徹底したカウンセリングで「納得」を何よりも大切に

特徴2: 徹底したカウンセリングで「納得」を何よりも大切に

当院の理念は「患者さまと家族のような関係」です。

  • 初回カウンセリングは十分な時間を確保
  • 検査結果を模型や写真を使って分かりやすく説明
  • 複数の治療選択肢をメリット・デメリットと共に提示
  • 費用や期間も事前に明確にお伝え
  • 無理に治療を勧めることは一切ありません
「なぜこのような状態になったのか」を根本から説明し、納得いただいてから治療を開始します。

特徴3: 痛みを最小限に抑える「無痛治療」へのこだわり

痛みへの不安を取り除くため、以下の取り組みを実施しています。

  • 表面麻酔で注射の痛みを軽減
  • 極細の注射針(33G)を使用
  • 麻酔液を体温に温めて違和感を軽減
  • 電動麻酔器でゆっくりと注入
  • 痛みを感じにくい部位への注射

治療中の不安が強い方には、リラックスできる環境づくりも心がけています。

特徴4: 様々な治療法を組み合わせる「包括的アプローチ」

特徴4: 様々な治療法を組み合わせる「包括的アプローチ」

お口全体を一つの単位として捉え、以下の治療を組み合わせます。

  • 歯周病治療(基本治療)
  • 根管治療(歯の根の治療)
  • 審美修復治療(セラミックなど)
  • インプラント治療
  • 精密義歯
  • 矯正治療
一本一本の歯を個別に治療するのではなく、全体のバランスを考えた治療計画を立案します。

特徴5: 治療後の健康を維持する「予防・メンテナンス」

治療して終わりではありません。

  • 専門の歯科衛生士による定期的なクリーニング
  • 患者様一人ひとりに合わせた歯磨き指導
  • 生活習慣の改善アドバイス
  • 定期検診による早期発見・早期治療

「大人にも入念な歯磨き指導を徹底」することで、治療後の良い状態を長期間維持します。

安心して治療を受けていただくための 6つのステップ

Step1: 初診・カウンセリング(60分)

まずはお悩みやご希望を詳しくお聞かせください。
どんな些細なことでも遠慮なくお話しください。

Step2: 精密検査(30分)

  • レントゲン撮影
  • 歯科用CT撮影
  • 歯周組織検査
  • 口腔内写真撮影

Step3: 診断・治療計画のご提案(45分)

検査結果をもとに、複数の治療選択肢をご提案します。
費用や期間も含めて詳しくご説明いたします。

Step4: 治療計画の決定

ご納得いただいてから治療を開始します。
疑問や不安があれば何度でもご質問ください。

Step5: 治療開始

痛みを最小限に抑えた治療を行います。
治療の進行状況は随時ご報告いたします。

Step6: メンテナンス

治療後の良い状態を維持するための定期的なケアに移行します。

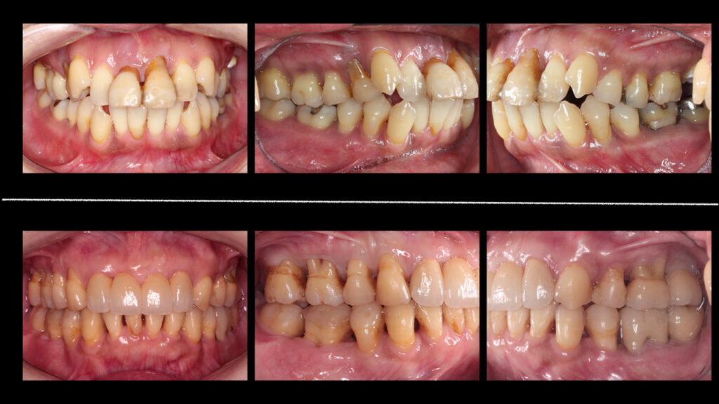
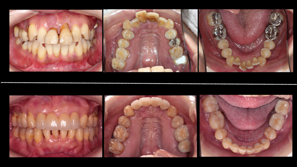
実際の治療例をご紹介します

症例1: 他院で抜歯と診断された重度歯周病を改善

患者様 60代男性
主訴 歯がグラグラして噛めない
他院での診断 全顎抜歯・総入れ歯
当院での治療 ・歯周病治療
・歯周組織再生療法
・部分的なインプラント治療
結果 8本の歯を保存することができ、しっかりと噛めるようになりました。

治療期間:10ヶ月
治療費:約90万円(保険適用部分含む)

多数歯欠損をインプラントと義歯で回復

患者様 50代女性
主訴 歯が少なくて食事が困難
当院での治療 ・残存歯の歯周病治療
・インプラント治療(4本)
・精密義歯
結果 何でも噛めるようになり、見た目も自然に回復しました。

治療期間:8ヶ月
治療費:約150万円

症例1

患者様 40代女性
主訴 噛みにくい、全体的に治したい
当院での治療 ・歯周病治療(歯周組織再生療法含む)
・矯正治療
・インプラント
・口腔機能回復治療(ブリッジを含む補綴全般)
結果 自然で美しい歯になり、自信を持って笑えるようになりました。

治療期間:4年
治療費:約440万円

院長からのメッセージ

院長からのメッセージ

「歯がボロボロになってしまった」と、一人で悩み、歯科医院から足が遠のいてしまった方も少なくないと思います。 しかし、諦める必要は全くありません。現在の歯科医療技術では、多くのケースで歯を残したり、失った機能や見た目を取り戻したりすることが可能です。 私自身、歯周病専門医として多くの「もう治せない」と言われた患者様の治療に携わってきました。その経験から言えることは、適切な診断と治療計画があれば、必ず改善の道筋が見えるということです。 当院では、患者様一人ひとりと家族のように向き合い、お悩みに真摯に耳を傾け、最善の治療法を一緒に見つけていくことをお約束します。 大切なのは、勇気を出して最初の一歩を踏み出すことです。どんな些細なことでも構いません。まずはあなたの悩みを聞かせてください。 中野駅南歯科クリニック 院長 岡田祐輔 日本歯周病学会専門医 歯科医師臨床研修医指導医

よくあるご質問

Q.

治療は痛いですか?

A.

当院では痛みを最小限に抑える様々な取り組みを行っています。表面麻酔、極細針、電動麻酔器の使用により、ほとんど痛みを感じることなく治療を受けていただけます。

Q.

費用はどのくらいかかりますか?

A.

治療内容により異なりますが、保険適用の治療から自費診療まで、患者様のご希望に応じて選択いただけます。治療前に詳細な費用をお伝えし、分割払いにも対応しています。

Q.

治療期間はどのくらいかかりますか?

A.

お口の状態により異なりますが、軽度の場合は2-3ヶ月、重度の場合は6-12ヶ月程度です。治療計画の段階で詳しくお伝えします。

Q.

他の歯医者で断られたのですが、診てもらえますか?

A.

はい、ぜひご相談ください。歯周病専門医として、他院で「治療困難」と診断されたケースも多数手がけています。まずは検査をさせていただき、可能性を探ります。

Q.

保険は適用されますか?

A.

基本的な歯周病治療や虫歯治療は保険適用です。より高度な治療や審美的な治療については自費診療となりますが、複数の選択肢をご提案いたします。

Q.

通院回数はどのくらいですか?

A.

治療内容により異なりますが、月2-4回程度の通院が一般的です。お忙しい方には短期集中治療も可能ですので、ご相談ください。

主な治療費用(税込)

【保険適用治療】

  • 歯周病治療:保険適用
  • 虫歯治療:保険適用
  • 抜歯:保険適用

【自費診療】

  • セラミック:44,000円〜198,000円
  • インプラント:440,000円〜550,000円
  • 金属床義歯:330,000円〜880,000円
  • 歯周病治療:

※詳細な費用は検査・診断後にお伝えします
※分割払い・デンタルローンに対応

アクセス・診療時間

  • 院名

    中野駅南歯科クリニック

    院長
    岡田 祐輔
    所在地
    〒164-0011
    東京都中野区中央4丁目60-3
    銀座ルノアールビル1F
    電話番号
    03-6382-6480
    アクセス
    中野駅南口から徒歩3分
  • 診療時間 日祝
    9:00~13:00
    14:00~18:00

    14:00~17:00
    休診日…水曜 / 日曜 / 祝日

中野駅南歯科クリニック

〒164-0011
東京都中野区中央4丁目60-3
銀座ルノアールビル1F

TEL: 03-6382-6480

【アクセス】
JR中野駅南口から徒歩3分

【診療時間】
月・火・木・金:9:00〜13:00 / 14:00〜18:00
土:9:00〜13:00 / 14:00〜1

まずはご相談から始めませんか?

  • 「歯がボロボロで恥ずかしい」
  • 「他で断られた」
  • 「費用が心配」

どんな悩みでも大丈夫です。
まずはお気軽にご相談ください。

[お電話でのご予約・ご相談]
03-6382-6480
受付時間:9:00〜18:00(水・日・祝除く)

[24時間受付 WEB予約]
[WEB予約はこちら]

※強引な治療の勧誘は一切いたしません

まずはお気軽にご相談ください

  • 03-6382-6480 03-6382-6480
  • 9:00~13:00/15:00~18:00
    ※土曜午後は14:00~17:00まで
    休診…水曜 / 日曜 / 祝日

  • Web予約はこちら 24時間受け付けております Web予約はこちら 24時間受け付けております

9:00~13:00/15:00~18:00 ※土曜午後は14:00~17:00まで
休診…水曜 / 日曜 / 祝日